病理生理學
CAA(澱粉樣腦血管病)患病率
在美國,因CAA的確診只能依靠屍體解剖,故很難確定其真實的發病率和患病率。但是可以在屍檢研究和腦葉ICH發生率的基礎上進行估算。在一項包括400例40~90歲病例的系列屍檢研究中,18.3%的男性和28%的女性腦記憶體在CAA的證據。對另一組117例確診為AD的患者進行的研究發現,其中83%存在CAA的證據。CAA的患病率隨年齡增長而上升;在某些屍檢系列研究中,70歲年齡組中5%的個體有CAA,而在90歲以上年齡組可高達50%。
據估計,在60歲以上的ICH患者中15%是由CAA引起的,而在70歲以上的非創傷性腦葉ICH患者中,CAA可高達50%約15~20/(10萬·年)。在老年AD和Down綜合徵患者中,CAA和CAA相關性腦出血尤為常見。
病死率致殘率
ICH
CAA最常引起的臨床表現是腦葉ICH。與高血壓性深部基底節出血相比,腦葉ICH的病死率較低(11%~32%)且功能預後較好。發生CAA相關性腦出血後,25%~40%的患者會復發,以出血後的第1年危險性最高。復發性出血既可同時也可在數年後發生。一旦復發,病死率通常會很高(達40%)。曾有出血史者繼發出血的危險性高於無出血史者。高血壓可增加發生CAA相關性出血的趨勢,反之亦然。皮質點狀出血可能會導致癲癇發作。
痴呆
認知功能障礙是CAA的常見表現。超過40%的CAA相關性出血患者存在不同程度的痴呆。某些病例的認知能力改變可先於ICH。CAA與AD密切相關。在80%~90%的AD患者中可存在CAA,其中1/3~2/3非常嚴重。在10%~15%的臨床確診AD病例中,CAA是最顯著的顯微鏡下異常。CAA與AD在病理學上共同存在的比率遠遠超過可用偶然現象來解釋的範圍。CAA患者動脈內ß-澱粉樣蛋白的水平幾乎與老年斑中相當。血管性病變起著十分重要的病理生理學作用,能夠促進AD患者痴呆的發展。CAA的嚴重程度與痴呆患者腦內缺血性或出血性病變的存在密切相關,CAA與嚴重卒中而不是皮質下腔隙性卒中有關。儘管CAA可能導致了AD中的神經變性,但並不能確定在這兩種疾病之間存在一種直接的因果關係,二者的關係也可能是由於共有的危險因素,如apoEe4的存在造成的。某些CAA患者表現為進展性痴呆,在數日或數周內迅速出現認知功能下降。這種快速進展很可能是由嚴重的血管澱粉樣變、皮質出血和梗死、白質破壞或神經炎樣斑塊堆積造成的。
血管炎
有報導表明,少數不同類型的血管炎,如巨細胞動脈炎、風濕性血管炎和中樞神經系統原發性血管炎與CAA有關。不過,兩者的病理學異常是否有因果關係,或者血管炎的表現是CAA引起的血管病理改變的一種反應,還沒有達成共識。
性別和年齡
儘管在屍檢研究中女性的CAA比男性更常見,但男、女兩性的ICH發生率相同,且出血的發生年齡也相同。CAA的嚴重程度與年齡有關;在90歲以後,存在CAA證據的患者超過50%。年齡增長和存在AD是公認的CAA危險因素。實際上,那些散發性CAA相關性ICH通常發生在=60歲的患者中。家族型CAA相關性ICH的發生年齡相對較輕。冰島型CAA的出血常在30~50歲發生,Dutch型則主要在60歲年齡段。
臨床表現
病史
CAA通常無症狀。但也可表現為幾種臨床疾病,以ICH和痴呆最為常見。2.1.1ICH。
CAA最常因ICH而被發現。根據出血的範圍和部位,其症狀可有很大變化,從短暫性無力到昏迷。患者可表現為復發性癲癇。發病時最常見的症狀為頭痛(占60%~70%)。額葉血腫可導致雙側額部疼痛;頂葉出血通常為單側顳部疼痛;顳葉血腫表現為同側眼和耳部疼痛;枕葉出血表現為同側眼部疼痛。嘔吐(占30%~40%)多在早期發生。16%~36%的患者以癲癇起病。最常見的癲癇類型為部分性發作,其症狀取決於ICH的部位;其中半數可表現為癲癇持續狀態。少數病例(0.4%~19%)表現為昏迷。對側半球、腦幹受壓或顱內壓增高可導致意識水平降低,其程度與血腫的大小和部位有關。
痴呆
任何類型的認知功能障礙均可作為痴呆的表現。某些患者可在一兩年內迅速從正常認知水平進展為嚴重痴呆。其他患者可經歷較為持久的演變過程,多見於典型AD。
功能缺損
刻板樣短暫性神經功能缺損通常包括面部無力、感覺異常或麻木。在某些病例,這些表現可能是即將發生較大出血的先兆。症狀可在2~10min內擴展到鄰近的身體部位,可能會涉及數個血管供血區。這些症狀很可能是小的皮質點狀出血導致的癲部分性發作。症狀的傳播速度與偏頭痛類似,已有人提出這可能是神經元活動的擴散性抑制的表現。某些患者表現為短暫性精神錯亂或發作性視覺錯亂。
少見表現
CAA可伴發缺血性卒中,其中部分患者可發現並存的血管炎。後者與CAA的因果關係尚不清楚。曾在無ICH的常染色體顯性遺傳性痴呆、痙攣和共濟失調患者中發現過CAA。據報導,在血管畸形、放射後壞死、海綿狀腦病和拳擊手痴呆患者中也曾發現過CAA。CAA可表現為占位性病變,這與腦實質內澱粉樣蛋白堆積引起的“澱粉樣瘤”或由血管病變引起的水腫或神經膠質增生有關。
體格檢查
在某個特定患者體檢中的發現有賴於與CAA相關的臨床病理學特徵。
ICH的臨床特徵取決於出血部位。由於出血後形成的血腫可向其他腦葉擴展,同時還有占位效應或顱內壓增高,因此很難將病變精確地定位於每個腦葉。
根據出血大小和部位的不同,額葉ICH可表現為從一側肢體無力到意識水平受損伴對側輕偏癱、偏身感覺減退和水平凝視麻痹的任何症狀。左半球出血可表現為失語,較前部的出血可導致意識喪失伴額葉釋放征。頂葉ICH表現為偏身感覺減退、同側偏盲、偏側忽視和失用症。優勢半球顳葉血腫可導致失語和偏盲,非優勢半球血腫可導致意識模糊狀態。枕葉ICH常伴發單側偏盲或象限盲和視幻覺。
病因
雖然存在基因遺傳傾向(如由ApoE亞型引起的各種風險增高),但大多數病例為散發性。
大多數CAA相關性ICH是自發性的,但也可與動脈粥樣硬化和高血壓造成的血管壁損傷有關。CAA患者發生ICH的危險性會因頭部創傷和神經外科手術而增加。某些證據表明,CAA在抗凝藥和溶栓藥引起的出血中起一定的作用。
遺傳型CAA是由於特異性的基因突變引起的。荷蘭型HCHWA是一種具有完全外顯率的常染色體顯性遺傳病。其ICH的發病年齡為60歲年齡段(平均55歲)。其中87%發生ICH,13%發生(深部)腦梗死。某些患者可在無ICH的情況下發生痴呆。該型患者的皮質和髓質血管內可見澱粉樣蛋白沉積,但未發現腦實質神經纖維纏結。這些患者腦血管內沉積的澱粉樣蛋白與散發病例中的相同,很可能是21號染色體上的澱粉樣蛋白前體蛋白(APP)基因缺陷所致。
冰島型HCHWA也是一種常染色體顯性遺傳病。首次ICH的發生年齡為30~50歲,某些患者甚至在15歲時即死於ICH。最近的一項病例報導發現了一個家族性病例,表現為伴(或)不伴ICH的遲發起病的痴呆。與其他類型的CAA相比,此型血管病變分布範圍較廣,可累及大腦、小腦和腦幹的動脈。其澱粉樣蛋白為半胱氨酸蛋白酶抑制劑胱抑蛋白C的一種突變體。
血管病和纖維蛋白樣壞死的嚴重程度與ICH的發生密切相關。
診斷
波士頓腦澱粉樣血管病研究組詳細制定了有關伴有ICH的CAA的診斷指南。將CAA的診斷分為4級,即明確的CAA、有病理學證據的高度可能的CAA、很可能的CAA和可能的CAA。前3個等級要求肯定無其他可致出血的病因;儘管其有效性還需要進一步驗證,但這一指南已用於臨床。
明確的CAA:完整的屍體解剖檢查發現腦葉、皮質、或皮質-皮質下出血和嚴重CAA的證據。
有病理學證據的高度可能的CAA:臨床資料和病理組織學(通過對血腫或皮質活檢標本)證實有出血,同時伴有上面提到的特徵和不同程度的血管澱粉樣蛋白沉積。
很可能的CAA:>60歲的患者,臨床資料和MRI結果(缺乏病理學證據時)證實有多發性血腫(如上所述)。
可能的CAA:>60歲的患者,臨床和MRI資料提示有單個腦葉、皮質或皮質-皮質下出血而無其他病因時,或多發性出血有可能但不是確定性的病因時,或某些不典型部位的出血時,均可考慮為可能的CAA。2.5鑑別診斷
鑑別診斷應包括前循環卒中、心源性栓塞性卒中、腦動脈瘤、額葉綜合徵、額葉和顳葉痴呆、頭部外傷、顱內出血、癲部分發作、創傷後癲以及溶栓治療的併發症。
其他尚需考慮到的情況包括:抗凝治療併發症、血液病、支氣管癌、絨毛膜癌、原發和轉移性中樞神經系統腫瘤、纖溶療法併發症、高血壓、惡性黑色素瘤、腎細胞癌、吸毒及血管畸形。
輔助檢查
實驗室檢查
迄今尚無用於確診CAA的特異性實驗室指標。某些患者可有腦脊液(CSF)蛋白含量升高。血管病的嚴重程度與apoE多態性有關,AopEε4和ε2等位基因均為CAA的危險因素。ApoEε2等位基因還可增加CAA患者發生ICH的危險性,ApoEε4等位基因與首次出血的早期發病有關,同時還使伴發AD的危險性顯著增加。那些同時存在腦葉ICH和ε2或ε4等位基因的患者,早期復發ICH的危險性升高。上述檢查缺乏敏感性和特異性,且不能作為篩選或診斷工具。然而,它們在識別有早期復發危險性的患者方面,仍不失為是一種有用的預測手段。此外,對於CAA相關性ICH,還應進行實驗室檢查以排除其他可能的病因。
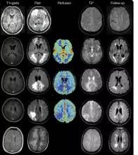
影像學檢查
腦CT掃描是檢查可疑的急性ICH患者的首選方法。當單個腦葉出血出現在淺表部位並伴或不伴向蛛網膜下腔或腦室內局部擴展的皮質受累時,均提示為CAA相關性出血。也可能存在僅局限於腦葉區域的多發性出血的證據。
最為常見的出血部位為累及皮質和皮質下白質的額葉和頂葉出血。有時可同時累及數個腦葉。深部中央灰質核、胼胝體和小腦有時也可受累。CAA引起殼核、丘腦或腦幹出血者罕見。
單純性蛛網膜下腔、腦室內和硬膜下出血雖可見到,但很罕見。除非有其他病因,尤其是動脈瘤存在,CAA不會引起孤立性的蛛網膜下腔出血。
CAA相關性痴呆患者的CT掃描可見到類似於Binswanger病的白質腦病,還可發現腦萎縮,特別是那些有認知功能障礙和出血史的患者。
MRI可顯示多發性皮質和皮質下大的或小的淤點狀出血灶,患者如無出血史,則提示曾經發生過無症狀出血。MRI梯度回波(GRE)序列可顯示鐵沉積的證據,後者為陳舊性出血的表現。對於腦葉出血者,陳舊性淤點狀出血的證據有助於CAA的診斷。GRE-MRI還可用於監測疾病的進展、評估將來的危險性以及評價治療干預的效果。在基線水平時,GRE-MRI上發現的陳舊性ICH病灶越多,將來發生ICH、認知功能障礙、生活不能自理和死亡的危險性就越大。對於合併血管炎的患者,MRI可見到腦脊膜增厚。
只有在少見的CAA相關性血管炎患者中,血管造影才會發現異常。但在這類患者中,其特異性和陽性預測值不足30%。明確診斷仍需進行腦組織活檢(敏感性為53%,陰性預測值為70%)。鑒於CAA的某些特徵與血管炎相似,發現血管炎的特徵時應高度懷疑CAA。對於伴有認知功能迅速減退(數周或數月內)、嚴重頭痛及癲的出血性或缺血性卒中史的患者,應該考慮進行血管造影檢查。
其他檢查
EEG可表現為瀰漫性異常,但通常不能發現癲病灶的證據。
組織學表現
對於確定性的診斷,進行組織學檢查是必需的。病理學標本可從血腫清除、皮質活檢或屍體標本中得到。由於疾病過程可為瀰漫性的,因此,即使在活檢病例中也可能無法發現陽性病理學資料。
血管澱粉樣蛋白沉積是CAA相關性出血的一種敏感標誌物。血管壁內的ß-澱粉樣蛋白由彎曲的ß片層纖維組成,是一種同源性的嗜曙紅性強的物質,在光鏡下呈現出煙燻樣外觀。在用剛果紅染色並在偏振光下觀察時,呈現出一種特徵性的黃綠色(即蘋果綠)雙折射。用硫磺素T和S染色並在紫外線光下觀察時,會發出螢光。
充滿澱粉樣蛋白的血管內出現的纖維蛋白樣壞死與CAA相關性ICH具有相對特異性。CAA可累及到皮質和柔腦膜血管,以頂葉和枕葉最為常見。微血管病通常不影響白質和深部的灰質結構。CAA患者的腦實質特徵性表現包括:白質斑塊狀脫髓鞘和白質脫失、皮質出血和梗死以及伴或不伴神經纖維纏結的神經炎斑塊。大多數CAA相關性ICH無AD。
內科治療
大多數CAA是無法治療的。
CAA相關性ICH的處理與ICH的處理原則相同。但特別要注意避免抗凝治療,並注意管理顱內壓和預防併發症。如果血管造影和腦活檢發現同時存在血管炎,則提示有長期類固醇和環磷醯胺治療的指征(1年)。3.2外科治療
當血腫引起顯著的占位效應並有腦疝形成的傾向時,血腫清除術能夠挽救生命,尤其是顱內壓增高經藥物治療無效時。血腫清除術的目的是降低顱內壓。迄今尚無設計良好的隨機臨床試驗的證據來確定哪些患者可以從血腫清除術中受益。不過一致同意對於那些血腫中等大小(20~60ml)且意識水平進行性下降的患者應進行血腫清除術。手術應在昏迷發生前進行。對於很小或非常大的血腫,手術治療通常沒有益處。血腫較小(<20ml)且意識水平僅輕微降低的患者,經保守治療後轉歸良好。當血腫過大(>60ml)且患者已經昏睡或昏迷時,即使手術清除血腫預後依然很差。
對CAA相關性ICH患者早期實施血腫清除術安全性的擔心並無根據。最近的幾項系列研究報導,術後血腫和手術病死率很低,並認為如有臨床指征,必須行血腫清除術。
2004年尚無血腫清除術可導致復發率升高的證據。最近的一項大樣本系列研究對37例CAA相關性ICH患者實施的50次神經外科手術的結果進行了評價。結果發現,病死率為11%,需要進行干預的術後血腫發生率為5%。與術後不良轉歸有關的危險因素包括年齡>75歲和頂葉血腫。
雖然手術過程常常會引起血腫壁的滲出,但用可吸收性止血藥,如氧化纖維素和明膠海綿,或纖維蛋白膠很容易控制。
通過分析患者的認知狀態可判定血腫清除術是否有效。
其他
對ICH病例應請神經外科會診,並由神經心理醫生對患者的認知功能缺損進行評價。
飲食方面無特殊要求。日常活動不必限制,但CAA患者必須避免任何形式的頭部創傷。
隨訪
口服華法林會增加CAA患者出血的危險性,即使是所用抗凝藥處於治療範圍內(即INR2~3)也不例外。血管病理學改變可能使這些患者傾向於發生微出血。抗凝藥的套用可能會導致原有的微出血範圍擴大,反之患者會始終無症狀。及時停用抗凝藥或抗血小板製劑,對於預防過去發生過腦葉出血者的復發而言不失為是一種慎重的選擇,特別是那些GRE-MRI提示有陳舊性淤點狀出血者。鑒於華法林相關性ICH的病死率很高,抗血小板製劑應該是一種更為安全的替代品。考慮到缺乏對CAA患者進行治療的高等級證據,因此,對每例患者都必須進行個體化分析,包括出血的危險性、治療對卒中預防的益處以及患者的選擇。
CAA相關性ICH的復發很常見。在對一組腦葉
出血者的研究中,復發率為38%,病死率高達44%。36%的復發出現在原發病灶上。明確的腦葉出血前有出血性卒中史者,可能預示著ICH的早期復發。
![CAA[澱粉樣腦血管病] CAA[澱粉樣腦血管病]](/img/4/f70/nBnauM3X3AjN3IzMyIDN4YDN0UTM0kTNzYDOzQTNwAzMwIzLyQzL0UzLt92YucmbvRWdo5Cd0FmLxE2LvoDc0RHa.jpg)
